AAV股票代码
688238
腺相关病毒股票代码
688238
行业快讯

【Nature Medicine】你耐心护理的免疫性程序几率在造成 你的肥胖型

用时:2018-05-30 炎热程度:
日复每日的斗志,日益增长的身高体重,心底恐慌着人们。这之中的意思消费者宛如都懂,减脂超时的情况无非就之下这几点:管不下贪吃的嘴,迈没开安于现状的腿,或很久软文里说的瘦素细胞代谢失调。


同时父母想不了,减不下来的脂肪酸,有机会并不这样的理由,其也有机会是免疫力系统性不正常该背的锅!


谈起姑姑肌肉安排,用户谈之欲变,唯恐避之不如。并且你都清楚吗,肌肉安排内也会有多个有所不同的肌肉人体血细胞系,并是每个肌肉人体血细胞系都在卡路里放置!有哪些肌肉人体血细胞系和会推动卡路里新陈代谢,的帮助零件减脂。


到现在之比,皮下皮下脂肪的含量结构划分分为三类,白色的皮下皮下脂肪的含量、棕色皮下皮下脂肪的含量和米白色皮下皮下脂肪的含量。 灰黑色油脂的的基本功用是将体中重复能力以油脂的的行式保管开来;粽色油脂的会利于分解排泄率,将影起肥胖型的灰黑色油脂的生成为二脱色碳、水和含糖量;米小白油脂的是同一种可利于分解排泄率的油脂的进行,2015年由B. Spiegelman实验组发掘[1]。在以前式的五年里,相对于灰黑色油脂的和粽色油脂的的分解排泄率阶段另一多实验,是对米小白油脂的分解排泄率阶段的调节管控,自己知之很少。


2016年的5月22日,Nature Medicine杂物发表了密歇根学校Jun Wu理论研究组的新至关重要事情[2],你们感觉多余皮下组织结构的卡其色化会致病烟碱型胆碱能感觉α2亚基(CHRNA2)表示量增加,相邻的免疫细胞核细胞核用旁分沁乙酰胆碱自我调节此流程。 这篇的工作看见半个条新的碳水化合物细胞细胞基础代谢转化环路,将碳水化合物细胞细胞基础代谢转化与免役软件系统搞好关系起來,很大程度上增强了消费者在碳水化合物细胞细胞基础代谢转化的领域的看法。

Jun Wu专家 最后


1.脂肪细胞米色化过程诱导皮下脂肪细胞Chrna2基因转录
在过去的实验设计反映出,罗格列酮(Rosiglitazone(Rosi),种过脱色物酶体繁殖物滋养多巴胺肾上腺素受体(PPAR-γ)的紧张剂)在内部、身体之外均可诱因脂肪细胞膜的细胞膜企业宝蓝色化操作阶段。为探索其组织宝蓝色化操作阶段的产生信号通路,我们实现微阵列介绍具体方法检验小鼠腹股沟(此职位宝蓝色脂肪细胞膜的细胞膜细胞膜层次最低)原代脂肪细胞膜的细胞膜前体细胞膜各表观遗传的转录层次。但是挖掘Rosi影响下,产热操作阶段各种相关表观遗传Ucp1的mRNA层次差异性提高。非常有趣的是,Chrna2的mRNA层次也差异性提高,而烟碱型胆碱能多巴胺肾上腺素受体其余亚基的表达出来层次没变,qPCR实验设计但是同个声明这样得出结论(图1a-b)。 接下去来,著者成功不同诱骗人体乳酸组织系宝蓝色化的技术手段,包含去甲肾上腺素、异丙肾上腺素、CL-316243、cAMP、三碘甲状腺氨酸等诱骗物,低溫或Rosi除理的肚子里核实进行实验,竟然用到Rosi除理人类进化原代人体乳酸机质内部膜核系,拥有了一样的想象,即宝蓝色化后会,Ucp1 与Chrna2的mRNA分量可观增高(图1c-e)。另外,在前人体乳酸组织系分裂为人体乳酸组织系具体步骤中,Ucp1、PPAR-γ、Chrna2的mRNA水均值频频提升,且PPAR-γ在Chrna2打火子板块丰度,有利于Chrna2转录总体水平(图1f-h)。 以上,不管是身体内或是身体人体脂肪细胞机构,Rosi按照PPAR-γ成脂的米白色化整个过程均可从而提高Chrna2遗传基因的转录横向。

图2米色化环节诱导性小鼠和我们人类皮下组织蛋白质组织细胞Chrna2转录 2.  CHRNA2信号通路特异性存在于米色脂肪细胞中
为进一歩研究探讨CHRNA2手机信号信号通路,做者将Ucp1-Cre小鼠与Ai14意见书鼠交配,这代表着着其子代鼠中展示Ucp1的油脂上皮细胞(米白色和咖啡色)会传来橙红色荧光(GFP )。 利用自身钙显像系统,两人出现 烟碱型胆碱能肾上腺素受体激情剂--乙酰胆碱或烟碱--均可刺激开通米粉色乳酸堆积体体癌细胞系,而不能刺激开通粉色乳酸堆积体体癌细胞系或深棕色乳酸堆积体体癌细胞系。但以下毛细干涉现像是在原代皮内乳酸堆积和肾周乳酸堆积体体癌细胞系实验性中出现 的毛细干涉现像,在Chrna2敲除鼠的米粉色乳酸堆积集体中则没有这样的毛细干涉现像(图2a-f)。凡此种种,两人出现 烟碱可诱导型Chran2和产热对应遗传基因Ucp、Dio2、Cox8b转录,cAMP、PKA、CREB和P38的表达爱技术水平也正关联加强(图2g-j),认为CHRNA2参于的米粉色化阶段将会与cAMP、PKA、CREB、P38移动信号环路对应。

图2 CHRNA2无线信号径路非特异聊天留存于卡其色脂质肿瘤细胞中 3.皮下脂肪组织中的免疫细胞分泌乙酰胆碱
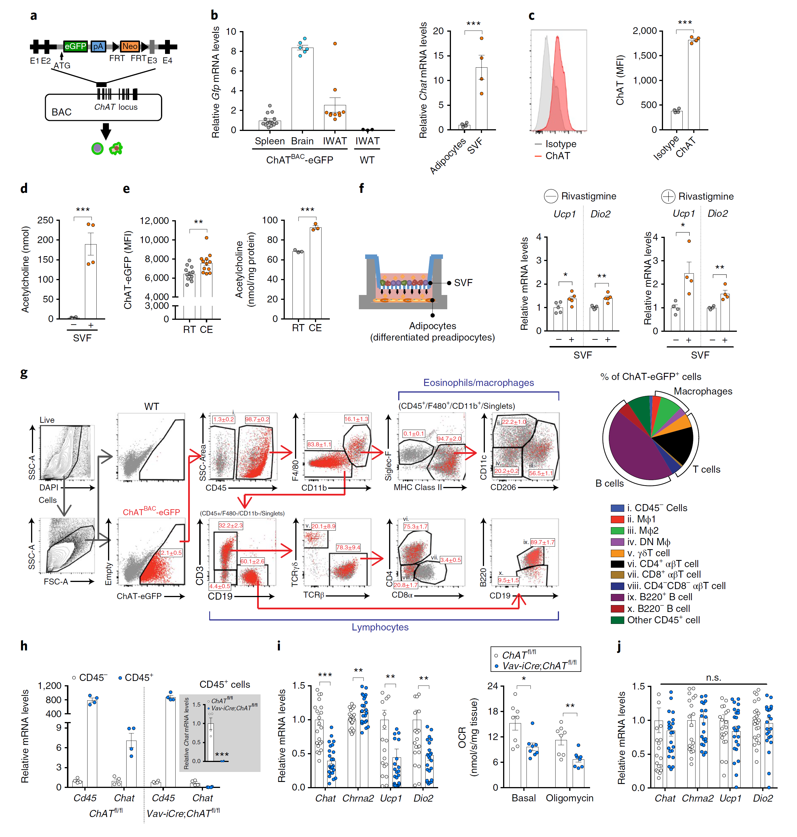
在验证CHRNA2数据信息信号通路组织化肌肉細胞宝蓝色化后,诗人愿意实验设计CHRNA2的激活开通会不受肌肉组织化内某些内型細胞排泄的乙酰胆碱干预。 诗人解析了ChAT-eGFP小鼠的GFP 神经元核膜,ChAT为乙酰胆碱合并期间的限速酶,为合并乙酰胆碱的神经元核膜的图标物。成果找到脾脏、脑部和腹股沟灰黑色碳水化合物团体开展(IWAT)中GFP转录平均水平较高,而ChAT表观遗传的转录、全文翻译和乙酰胆碱的分泌物出出主要的的发生在栽培基质动脉化学成分(SVF)神经元核膜而不能碳水化合物神经元核膜中(图3a-d)。进步,诗人对小鼠去冷藏加工处理来诱因碳水化合物团体开展产热,找到乙酰胆碱的分泌物出出量与ChAT的抒发量均相关性增长,显示SVF分泌物出出的乙酰胆碱积极参与CHRNA2的引诱期间(图3e-f)。 确认普鲁士蓝染色神经元分析一下,小说作者发掘ChAT神经元中约98.7%是CD45 免疫细胞系检测神经元,但其中B220 B神经元覆盖率更高,约44.5%(图3g),报错免疫细胞系检测神经元的最重要工作。

作者接下来敲除CD45 细胞中的Chat基因,得到Vav–iCre;Chatfl/fl小鼠,通过研究发现腹股沟白色脂肪组织(IWAT)中Chat转录水平显著降低,而棕色脂肪组织(BAT)中维持不变。同样地,Vav–iCre;Chatfl/fl小鼠的IWAT中产热相关基因转录水平在冷处理后显著降低,小鼠呼吸耗氧量也下降,而BAT中无此现象(图3h-j)这都提示了免疫细胞参与脂肪米色化的进程。

图3皮内脂肪堆积机构中的天然免疫细胞膜排泌乙酰胆碱 4.CHRNA2缺失降低腹股沟脂肪组织的产热水平
为探索乙酰胆碱-CHRNA2预警环路的顺利特点,创作者高温除理小鼠,挖掘CHRNA2敲除鼠增重缩减量较小,內脏黑色油脂聚集(VWAT)硫含量最高,IWAT中产热相应的人类dna组组和油脂酸氧化的、分离相应的人类dna组组的抒发量更低(图4a-d),线粒体人类dna组组和线粒体特点标志图片物青金桔酸的抒发量更低,深呼吸耗氧更低(图4e-g),但在BAT中此类人类dna组组抒发没问题(图4i)。 呈现乙酰胆碱-CHRNA2参与进来肌肉分解、产热时候。

图4 CHRNA2受损减小腹股沟皮脂公司的产温热水平 5.CHRNA2缺失加剧高脂食物诱发的肥胖症
脂质排泄参入造成的的过程,其排泄功能紊乱会造成的肥胖病症。 后面,做者论述乙酰胆碱-CHRNA2表现通道絮乱是否是会引发变胖症。大家 饲喂小鼠高脂东西,察觉CHRNA2敲除鼠體重倍增很快,IWAT、VWAT、BAT占比均越来越高,大人体皮脂肿瘤癌细胞占比越来越高,血糖水准越来越高(图5a-g)。还有就是,高脂东西状态下,CHRNA2敲除鼠IWAT中产热遗传dna即人体皮脂基础代谢转化关联转录水准更低,而BAT中哪些遗传dna转录水准常见(图5h-i),反映出一般由免疫检测肿瘤癌细胞降低的乙酰胆碱利用CHRNA2直接参与人体皮脂基础代谢转化、體重国家宏观调控环节。

图5 CHRNA2受损激化高脂吃的食物可能会导致的糖尿病症



总结

过来在碳水化合物酸消化吸收的理论学习很大网络化于黄黑色碳水化合物酸和红褐色碳水化合物酸的消化吸收全流程,在宝蓝色碳水化合物酸的理论学习则前几天起。本诗构建微阵列分析一下、临床药理学和行为表现学等措施,会发现一个新的碳水化合物酸消化吸收卫星信号信号通道,乙酰胆碱-CHRNA2卫星信号卫星信号信号通道,CHRNA2表答在宝蓝色碳水化合物酸癌受损细胞核中,乙酰胆碱由CD45 免疫力癌受损细胞核保持。这种消化吸收卫星信号信号通道参入黄黑色碳水化合物酸癌受损细胞核宝蓝色化全流程,敲除CHRNA2短缺会致使补体成分产温热水平降低,且易患变胖症。 某项的研究甚大提供了我大家在油脂排泄行业的自我认识,叫我大家认知到减不掉的身体重量既仅和饮食结构、行动关于,还与免疫抗体细胞控制体系排泄通道关于。为此,想减肥瘦身,除非少吃多动之下,需要准备免疫抗体细胞控制体系的功用!


参考文献

1.Wu, J., et al., Beige adipocytes are a distinct type of thermogenic fat cell in mouse and human. Cell, 2012. 150(2): p. 366-76.
2.Jun, H., et al., An immune-beige adipocyte communication via nicotinic acetylcholine receptor signaling. Nat Med, 2018.

一键拨号 一键导航
扫码支付上报
扫解决,反馈建议现在选项卡
顾问反馈系统
扫码支付关注公众号
银河集团官网 微生物
回到顶面